GX-BP2(STAT3-bioPROTAC)
Disease Indication
아토피성 피부염 (Atopic Dermatitis), 암 (Cancer)
Development Stage
- 1저분자 PROTAC 대비 우수한 in vitro STAT3 분해 효과 확인
- 2다중 사이토카인 유도 아토피 피부염에서 dupilumab 대비 향상된 1) 피부 장벽 단백질 회복 효과 및 2) 염증유도 cytokines 분비 억제능 확인 (in vitro)
- 2아토피 피부염(AD) 모델에서 dupilumab 대비 우수한 in vivo 효능 입증
Summary
- 1아토피 피부염 및 암에서 확립된 타깃인 STAT3단백질을 선택적으로 분해하는 bioPROTAC제제로 염증성 피부질환 및 암을 포함한 STAT3 구동 질환에서 큰 치료 잠재력 보유
- 2높은 안전성 프로필 보유: 우수한 STAT3 단백질 선택성으로 Off-target 위험성 낮으며, 피부 진피세포에 국소 전달하여 부작용 발생 가능성 감소
- 2아토피성 피부염 환자의 연령, 중증도, 유발 인자 등을 고려한 개인별 다양한 치료법 병행 필요. dupilumab으로 해결되지 않는 새로운 작용기전 기반 아토피 피부염 치료제
Structure
STAT3 단백질에 특이적으로 결합하는 나노바디(nanobody)와 엔지니어링된 E3 단백질을 직접 융합 단백질(direct fusion protein) 형태로 구성한 차세대 표적단백질제거제(TPD, Targeted Protein Degrader)이며, 1세대 TPD로 구분되는 저분자 기반 PROTAC 대비 혁신적인 차별점을 보유하고 있습니다.

Mechanism
- 1GX-BP2는 JAK-STAT 경로에서 IL-4/IL-13에 의해 활성화되는 STAT3 단백질을 선택적으로 분해하여 피부 장벽 기능 회복
- 2STAT3를 분해함으로써, 암 치료에서 유망 타깃 공략
- 2피하주사 (SC injection)을 통해 mRNA로 코딩된 GX-BP2를 LNP를 통해 피부 진피층에 전달
크게보기
Characteristics
저분자 PROTAC 대비 향상된 분해 효능 및 높은 선택성
‘KT-333’ (K*****사가 임상1상 중인 저 분자 VHL recruiting PROTAC) 대비 우수한 STAT3 분해 효능
크게보기
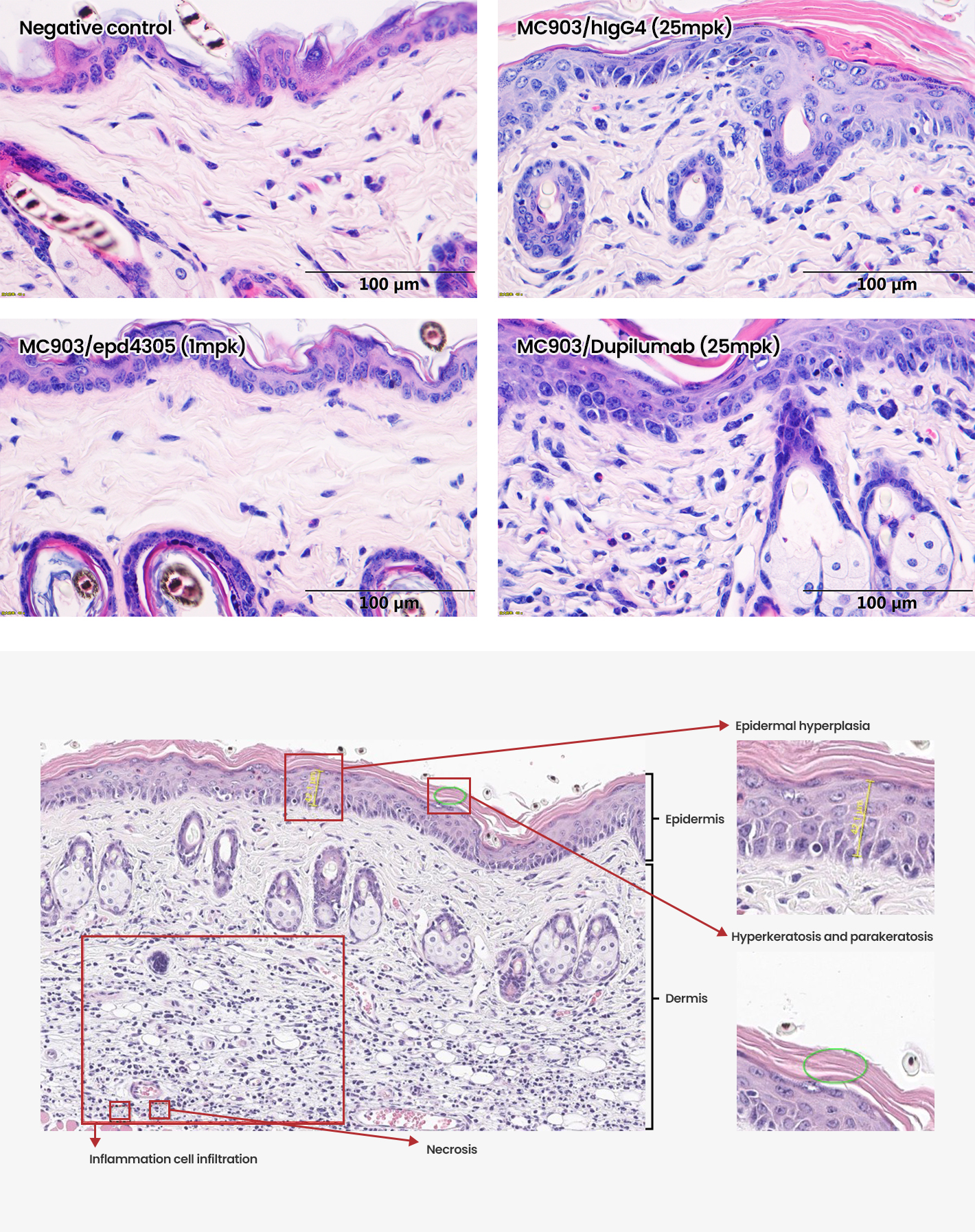
dupilumab 대비 우월한 in-vivo 효능
- 11 mpk epd4305를 피하주사(s.c.)로 주 2회(BIW), 총 5회 투여한 결과, 아토피 피부염의 특징 완화 효과 관찰
- 2H&E staining (40X image)
크게보기